メニュー
  • ホーム
  • クリニック紹介
  • 医院紹介
  • 院長紹介
  • ごあいさつ
  • 大阪院紹介
  • 施術料金
  • アクセス
  • おすすめ治療
  • 症例フォトギャラリー
  • スタッフブログ
  • 近藤院長ブログ
  • お知らせ一覧
  • 施術紹介
  • 切らない目の下のクマ・たるみ取り
    (TCB手術)
  • 切らない目の下のクマ・たるみ取り
    コンプリート法
    (TCB+レディエッセ)
  • 切らないフェイスリフト
    クイックチタンペックリフト®
    (糸リフト)
  • レディエッセ
  • ベロテロ
  • ボトックスでリフトアップ
  • マイクロスレッドリフト
  • エランセ
  • 二重まぶた術
  • 眉毛下切開
  • 最新美容・皮膚科治療
  • MIAS
    (最小侵襲アンチエイジング手術)
    ラインナップ
  • 化粧品
  • その他
  • MIASの概念
  • 大阪院 診療日のご案内
  • メンバーズカードのご案内
  • Beauty Note
  • 素敵な人、輝きのある人
  • Grace Life
  • LINEから予約
  • マイページから予約
東京・大阪共通
受付時間 10:00〜19:00
ご予約・お問い合わせ
0120-0480-74
マイページをご利用の方はこちら|Language
  • ホーム
  • 医院紹介
  • 院長紹介
  • 大阪院紹介
  • 施術料金
  • アクセス
Menu
soグレイス外観
 

初診の方、当日3万円以上の治療をされる方は、当院最寄り駅からタクシーをご利用下さい。
(JR・京急品川駅高輪出口、五反田駅)
レシートをお持ちいただければ、当院にて 往復分の代金をお支払いいたします。
また、施術後、羽田空港から飛行機でお帰りになられる方も、空港までのタクシー代金は当院がお支払いいたします。

東京本院

SOグレイスクリニック御殿山(美容外科)
【所在地】
〒141-0001
東京都品川区北品川5-16-25
【最寄駅】
JR線  品川駅・大崎駅
   (徒歩10〜15分)
京急線 北品川駅(徒歩10分)

大阪院

SOグレイスクリニック大阪(美容外科)
【所在地】
〒564-0063
大阪府吹田市江坂町1丁目13-48
HF江坂ビルディング 2F
【最寄駅】
大阪市営地下鉄 御堂筋線・ 北大阪急行 南北線
江坂駅(出口1から 徒歩4分)

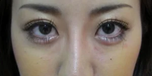
img_case-study-01__after

P 2024年12月24日 , by TanakaKeisuke

  • K

img_case-study-01__before
img_case-study-02__before

Posted by TanakaKeisuke

← 前の記事へ

  • ホーム
  • 医院紹介
  • 院長紹介
  • 大阪院紹介
  • 大阪院 診療日のご案内
  • 施術料金
  • アクセス
  • MIAS
  • ドクターブログ
  • Beauty Note
  • スタッフブログ
  • 症例フォトギャラリー
  • コスメ
  • fb2_re
  • sd

诊所微信

扫描下面的二维码,关注我们的微信账号并直接联系我们。

关闭
  • ホーム
  • 医院紹介
  • 院長紹介
  • ごあいさつ
  • 大阪院紹介
  • 大阪院 診療日のご案内
  • 施術料金
  • 化粧品
  • アクセス
  • お知らせ一覧
  • モニター募集
  • Beauty Note
  • おすすめ治療
  • 切らない目の下のクマ・たるみ取り - TCB手術
  • 切らない目の下のクマ・たるみ取り - コンプリート法
  • クイックチタンペックリフト®
  • レディエッセ(Radiesse)
  • ベロテロ(Belotero)
  • ボトックスでリフトアップ
  • マイクロスレッドリフト
  • 二重まぶた術
  • 眉毛リフト
  • 最新美容・皮膚科治療
  • アートメイク(頭皮・眉・リップ)
  • ダーマペン4
  • マッサージピール
  • 医療脱毛(クラリティ2)
  • イオン導入
  • ネックリフト
  • 切開リフト プロモーション
  • 症例フォトギャラリー
  • スタッフブログ
  • 近藤院長ブログ
  • LINEから予約
  • マイページから予約
  • メンバーズカードのご案内
  • 素敵な人、輝きのある人
  • Grace Life
  • MIARSの概念
  • MIAS(最小侵襲アンチエイジング手術)
    ラインナップ
  • 個人情報保護方針

Go to top ↑

© 2026 SO.グレイスクリニック.

Choose your language

  • 日本語
  • English
  • 中文 (中国)